Recipe for good sleep
Sleep is essential for both cognition and maintenance of healthy brain function. Slow waves in neural activity contribute to memory consolidation, whereas cerebrospinal fluid (CSF) clears metabolic waste products from the brain.
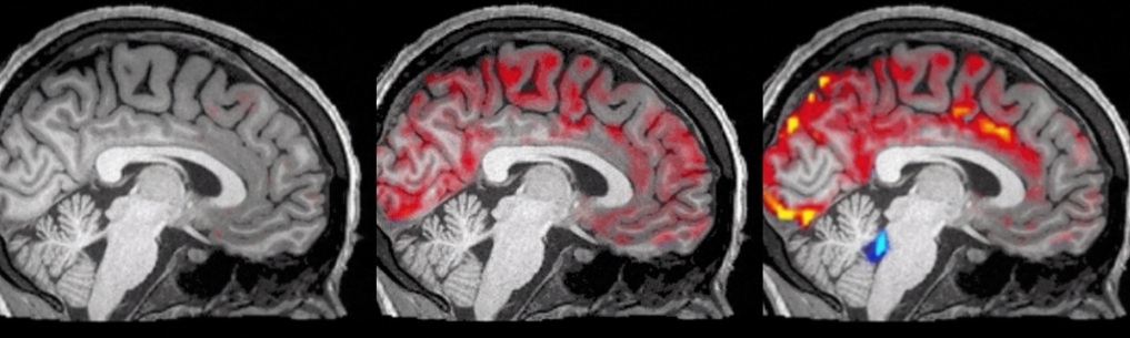
Scientists at Boston University took an unprecedented picture of the cleaning process: red is blood and blue is cerebrospinal fluid. What’s amazing is that it hasn’t been discovered before, and the blood will flow out of the brain periodically. Whenever a large amount of blood flows out, the cerebrospinal fluid takes the opportunity to launch a wave of attacks. The cerebrospinal fluid will remove toxins after entering the brain.

Such cleaning can only be done in your sleep, so you wake up with a refreshing brain; when you are not sleeping, the cerebrospinal fluid does not have a chance to get in to remove toxins. So, have sufficient sleep and don’t stay up late.
Source: Fultz et al 2019
Essential Oil for Night time Routine
【“Sleepy” Oils — Essential Oils for Your Nighttime Routine】
Set up a bedtime routine with essential oils below, and drift into dreamland in no time!
〚Cedarwood essential oil〛
- Has a warm, relaxing aroma that is soothing and creates a relaxing, calming, and comforting atmosphere when diffused, to support a relaxing nighttime routine
- Includes naturally occurring constituents that are high in sesquiterpenes
Add it to your bedtime routine:
- Diffuse Cedarwood in the evening to create a relaxing atmosphere and help neutralize odors
- Apply 1-2 drops onto your pillow before going to bed
- Add Cedarwood to your favorite lotions and skin care and apply before bed
〚Lavender essential oil〛
- Has a floral, calming scent that can be used aromatically or topically. With its many benefits, Lavender is one of our most popular products
- Promotes feelings of calm and fights occasional nervous tension
- Has balancing properties to calm the mind and body
- Includes the naturally occurring constituents linalyl acetate, linalool, and ocimene
Add it to your bedtime routine:
- Add 4 drops of Lavender and 1 cup of Epsom salt to a bath to create a relaxing environment
- Unwind in the evening with a calming, Lavender-infused neck or back massage
- Use Lavender as part of a bedtime routine by rubbing it on the bottoms of your feet or diffusing it next to your bed
〚P&C Essential Oil Blend〛
- A blend of Tangerine, Orange, Ylang Ylang, Patchouli, Blue Tansy. This fragrant oil blend is a wonderful addition to your meditation, evening routine, or playtime with the kids
- Diffuse this blend to freshen the air, especially in rooms where children play or study
Add it to your bedtime routine:
- Diffuse it in your bedroom at night
- Apply it to the bottoms of feet at night as part of a bedtime ritual for your whole family
- Dilute it with [Base Oil] for a calming back massage before naps or bed
- Add 4-5 drops to 1 cup Epsom salt for a centering bath as part of a calming evening routine
〚T Blend Roll-On〛
- A blend of all our bedtime favorites that gives tranquility: Lavender, Cedarwood, and Roman Chamomile.
〚Ruta Blend Roll-On〛
- Formulated with Ruta, Valerian and Lavender, its calming scent is perfect to use during your evening routine.
Add it to your bedtime routine:
- Usher in bedtime for kids and parents alike with a familiar, soothing scent by applying to the bottoms of feet during evening routines
- Inhale or roll over your heart for a centering aroma
- Wind down after a hectic day by applying to your neck or shoulders, then massaging for 20-30 seconds
- Roll on the bottoms of your feet and your temples as you get in bed each night
Supplement for sleep
Our body need Serotonin. Serotonin is a neurotransmitter that transmits the signal of happiness and enhances our ability to focus. It is also the precursor of the sleep hormone, melatonin. In other words, lack of serotonin would mean the body cannot produce melatonin which is vital in helping us sleep. This will eventually affect our emotion and immune system.
We can enhance our Serotonin level through our diet. Tryptophan and Theanine can be obtained from food that produce Serotonin through the aid of Vitamin D. Or if our body cannot produce sufficient Melatonin, we may consider to get some in the supplement.


Melatonin
The Oil Company offers a product of chewable tablets containing naturally derived, immune-supporting wolfberry polysaccharides with a unique blend of reishi, maitake, and agaricus blazei mushroom powders to deliver powerful antioxidant activity. It also delivers melatonin, which encourages restful sleep by promoting the body’s natural sleep rhythm.
Another option is a product of softgels containing Lavender, Vetiver, Valerian, and Ruta essential oils that have unique sleep-enhancing properties, combining with the hormone melatonin
Vitamin D
The Vitamin D supplement from The Oil Company is vegan-friendly Vitamin D, which is not lab-made. It contains Melissa, Lime and Lemon Balm essential oils. It helps our body produce Serotonin, hence, Melatonin. It supports good mood, support calcium balance and bone growth. It helps boost healthy respiratory and immune system.
Members’ benefit
BHBL EDUCATION facebook— Testimonial and sharings on healthy lifestyles
BHBL TRAINING facebook – One-stop full-time training for members who want to promote healthy lifestyles to others
OTHER RESOURCES
BHBL AromatherapyCourse facebook– Hong Kong’s first Aromatherapy course (French style), BHBL members enjoy half price and priority registration
BHBL “精油身心靈” Book – Hong Kong’s first Aromatherapy essential oil book (French style), special offer for BHBL members
DrMomMom facebook – About Parent-child health and education





